Transforme seu sorriso. Transforme sua vida.

Atendimento odontológico humanizado, focado em autoestima, bem-estar e qualidade de vida.

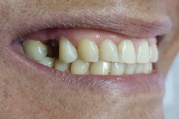
Sorrisos que contam histórias.

Veja algumas transformações feitas
com muito amor, técnica e responsabilidade.

56
12
78
34
1112
910

Por trás de cada sorriso, existe uma história

Sou a Dra. Larissa Vieira, Cirurgiã-Dentista, e a odontologia entrou na minha vida de forma muito pessoal. Passei por uma cirurgia que não mudou só meu sorriso — mudou minha vida, minha autoestima e minha forma de me ver no espelho. Isso me fez entender que a odontologia vai muito além da estética. É sobre devolver segurança, confiança e qualidade de vida. Antes de ser dentista, fui Técnica em Saúde Bucal (TSB), o que me trouxe um olhar mais empático, cuidadoso e humano. Hoje, meu compromisso é te oferecer muito mais do que um tratamento: é te proporcionar uma experiência acolhedora, segura e transformadora.

Dra. Larissa Vieira | Cirurgiã-Dentista
CRO [0000000]

Design sem nome (12)

Soluções para sua saúde bucal
e sua autoestima.

Tratamentos realizados com técnica, carinho e dedicação.

Depoimento

Perguntas Frequentes (FAQ)

Tirar o siso dói?

Não. O procedimento é feito com anestesia local, é totalmente indolor. Após o procedimento, pode haver um desconforto controlado com medicação orientada.

Quanto tempo dura o clareamento dental?

O clareamento pode durar de 1 a 2 anos, dependendo dos seus hábitos. Evitar cigarro, café em excesso e bebidas escuras ajuda a manter o resultado por mais tempo.

Fazer harmonização dói?

Os procedimentos são minimamente invasivos e usamos anestesia tópica ou local. O desconforto é mínimo e rapidamente passa.

Fazer harmonização dói?

Os procedimentos são minimamente invasivos e usamos anestesia tópica ou local. O desconforto é mínimo e rapidamente passa.

É possível parcelar os tratamentos?

Sim, oferecemos opções de parcelamento. Na avaliação você recebe todas as informações sobre formas de pagamento.

Posso trabalhar ou estudar após tirar o siso?

Recomendamos repouso no dia do procedimento e, se possível, nas primeiras 24h. Após isso, muitos pacientes retomam suas atividades normalmente.